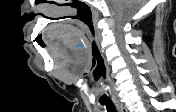
תושב סח’נין בן 65, אשר חש כאבים עזים בפיו לאחר אכילת דג, פונה למרכז הרפואי זיו בעקבות זיהום ונפיחות בלשונו. בעקבות ערנותו של ד”ר ג’מאל גנטוס, מתמחה א.א.ג, בוצעה בדיקת CT שאבחנה עצם דג באורך 2 ס”מ הנעוצה בעומק הלשון של המטופל ועלולה הייתה לסכן את דרכי הנשימה. בניתוח יוצא דופן, תחת הדמיית אולטרסאונד בזמן אמת, הצליח צוות מומחי המרכז הרפואי זיו, לשלוף את העצם בהצלחה.
ד”ר שלמה מרחבי, מנהל מחלקת אף אוזן גרון וכירורגיית ראש צוואר במרכז הרפואי זיו: “השילוב של טכנולוגיית האולטרסאונד בחדר הניתוח מאפשר לנו להעניק טיפול מדויק ובטוח גם במקרים המאתגרים ביותר. ערנות הצוות במיון, בשילוב טכנולוגיה מתקדמת, הצילה את המטופל מסיבוכים חמורים”.
במרכז הרפואי זיו מדגישים כי כל מקרה של כאב או אי-נוחות חריגה לאחר אכילת דגים, צריך להיבדק במהירות. יש להימנע מאכילה ושתיה ולפנות מיד לעזרה רפואית, כדי למנוע סיבוכים רפואיים משמעותיים.





